乳牙反正都要換的,不用補! 乳牙蛀了就蛀了,等換了新牙就好了! 孩子這么小,補什么牙?還要遭罪! 不少爸爸媽媽可能都有以上這些想法,或者聽爺爺奶奶外公外婆鄰居大媽大爺……
“乳牙反正都要換的,不用補!”
“乳牙蛀了就蛀了,等換了新牙就好了!”
“孩子這么小,補什么牙?還要遭罪!”
不少爸爸媽媽可能都有以上這些想法,或者聽爺爺奶奶外公外婆鄰居大媽大爺這么傳說。
可是,真是如此嗎?

乳牙壞了不用補?
其實,您有這種想法,
就開始錯了!
錯在哪?
1、乳牙不補,會引發更嚴重的牙齒問題。
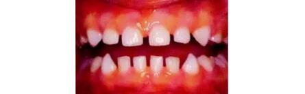
健康的乳牙。

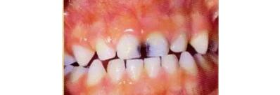
然而并沒有好好地護理,乳牙蛀了,剛開始是這樣的。

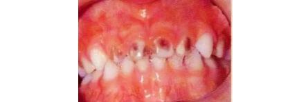
隔壁的大媽說,乳牙要換的,不用補。然后就變成這樣了。

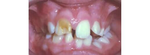
家長開始著急,然而村口擺地攤“100塊種牙”的老大爺又說了,“這算事兒嗎?換牙就好了!”于是,牙齒就變成這樣了。

2、乳牙不補,會讓下方的恒牙“躺著中槍”。
確實,乳牙反正是要換,但是您得知道乳牙和恒牙是那么那么的接近!

乳牙生病了,齲壞了長期不管,很有可能造成恒牙也毀容!

釉質發育不全

恒牙異位萌出
3、乳牙不補,孩子不敢用壞牙吃飯,長久形成偏側咀嚼。
偏側咀嚼有問題嗎?除了下巴骨不適、一側牙齒磨損嚴重等問題外,最糟糕的是,臉型變這樣了!

4、乳牙不補,會影響美觀和發音。
牙齒好的孩子是這樣笑的。

如果孩子的牙齒是這樣的。

只能“笑不露齒”了吧?
對小朋友的自信心也是重重的打擊。
如果孩子牙齒齲壞了,那該怎么辦呢?
及時到醫院去看牙醫!
及時到醫院去看牙醫!
及時到醫院去看牙醫!
(重要的說三遍!)